Trong thời gian gần đây, niềng răng tháo lắp là phương pháp chỉnh nha được nhiều khách hàng lựa chọn. Phương pháp này sử dụng khay niềng tr...
Thế nào là cạo vôi răng?
Cạo vôi răng là giải pháp đơn giản nhất trong việc loại bỏ các mảng bám cao răng, mang lại hàm răng đều đẹp và chắc khỏe. Thực hiện cạo vôi...
Niềng răng mặt trong là như thế nào?
Hiện nay có rất nhiều phương pháp niềng răng hiện đại nhằm điều chỉnh các khuyết điểm về răng như răng hô, răng thưa, răng móm…đáp ứng nhu ...
Những trường hợp cần trám răng là gì?
Trám răng là một trong những biện pháp khắc phục tình trạng sâu răng khá nhanh chóng và hiệu quả hiện nay. Tuy nhiên quy trình trám răng sâ...
Cách làm trắng răng sứ tại nhà khiến bạn thích thú
Cách làm trắng răng sứ tại nhà bằng cách nào và liệu có đem lại hiệu quả như mong đợi hay không. Răng sứ bị xỉn màu là tình trạng mà rất n...
Sau khi niềng răng mặt trong bạn sẽ cảm thấy thế nào?
Chế độ ăn uống và cách lựa chọn thực phẩm rất quan trọng đối với người đang trải qua giai đoạn đeo niềng để sở hữu một hàm răng đẹp. Để đạt...
Ưu điểm niềng răng người lớn là gì?
Niềng răng cho người lớn tại nha khoa ngày nay đã phổ biến hơn, vì ai ai cũng mong muốn sở hữu một hàm răng đều đẹp, một nụ cười rạng rỡ hơ...
Cách vệ sinh sau bọc răng sứ
Trong quá trình thực hiện các ca bọc răng sứ thẩm mỹ cũng như niềng răng cho bệnh nhân, các bác sĩ gặp rất nhiều trường hợp khác nhau. Điển...
Ưu điểm của bọc răng sứ
Ưu nhược điểm của bọc răng sứ thẩm mỹ sẽ giúp bạn có cái nhìn đúng đắn nhất về phương pháp này cũng như có được sự lựa chọn phù hợp trong t...
Một số điều cần lưu ý sau khi bọc răng sứ
Bọc răng sứ là một phương pháp nha khoa tiên tiến để phục hình răng bị gãy mẻ, bị sâu răng hay răng nhiễm màu nặng mà không thể phục hồi bằ...
Nguyên nhân bọc răng sứ bị hở
Bọc răng sứ bị hở là điều không ai mong muốn xảy ra khi nhờ đến chúng để làm đẹp răng miệng. Vậy nguyên nhân, hệ quả và cách khắc phục như...
Quy trình niềng răng khớp cắn chéo
Khớp cắn chéo là một trong những biến dị của khớp cắn, có ảnh hưởng không nhỏ đến thẩm mỹ nụ cười và chức năng ăn nhai của hàm răng. Do nhữ...
Làm cầu răng sứ có bền không?
Làm cầu răng sứ là phương pháp phục hình răng mất cho hiệu quả cao, đảm bảo tiết kiệm tối đa về chi phí. Tuy nhiên, vẫn còn rất ít người hi...
Hàm duy trì là gì?
Nhận thấy mọi người niềng răng hay lo sợ một vấn đề là răng bị chạy lại khi tháo niềng cùng với đó cũng có rất nhiều bạn đang nhầm lẫn giữ...
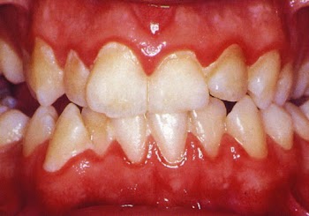
Trị viêm chân răng bằng thảo dược có tốt không?
Từ xưa, ông bà ta vẫn thường dùng một mẹo chữa trị viêm chân răng từ thảo dược. Tuy nhiên, về độ hiệu quả thì không phải ai cũng biết? Bài ...












